Command Palette
Search for a command to run...
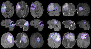
BraTS 2015 Brain Tumor Image Segmentation Dataset
Date
3 years ago
Publish URL
Paper URL
License
Other

BraTS stands for brain tumor segmentation, which is a dataset about brain tumor image segmentation. The dataset includes MRIs of 220 high-grade gliomas (HGG) and 54 low-grade gliomas (LGG). The four MRI modes are T1, T1c, T2, and T2FLAIR. The segmented "reference standard" provides information about four intratumoral categories, namely edema, enhancing tumors, non-enhancing tumors, and necrosis.
Build AI with AI
From idea to launch — accelerate your AI development with free AI co-coding, out-of-the-box environment and best price of GPUs.
AI Co-coding
Ready-to-use GPUs
Best Pricing
Hyper Newsletters
Subscribe to our latest updates
We will deliver the latest updates of the week to your inbox at nine o'clock every Monday morning
Powered by MailChimp