Command Palette
Search for a command to run...
X-ray Chest Pneumonia X-ray Image Dataset
Date
Size
Publish URL
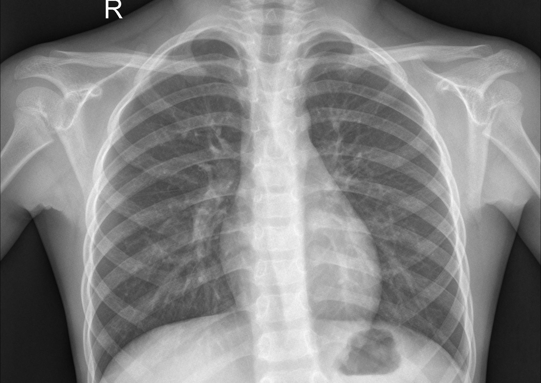
X-Ray Images for Chest Pneumonia is a dataset of chest X-ray images designed to train and evaluate computer vision models to help automated diagnostic systems detect respiratory diseases such as pneumonia. The dataset contains approximately 5,800 chest X-ray images, classified into two categories: normal and pneumonia (bacterial and viral). The dataset is structured into 3 main folders - training set (train), test set (test), and validation set (val) - each folder contains subfolders of 2 categories: pneumonia (Pneumonia) and normal (Normal). The images are derived from a retrospective cohort of pediatric patients aged 1 to 5 years old at the Guangzhou Women and Children's Medical Center, and these X-rays are part of routine clinical examinations. To ensure data quality, all X-rays undergo a preliminary quality control screening, and low-quality or unreadable images are excluded. The diagnosis was evaluated by 3 expert doctors. A third expert reviewed the evaluation set to reduce potential scoring errors, especially during the AI training validation process.

Build AI with AI
From idea to launch — accelerate your AI development with free AI co-coding, out-of-the-box environment and best price of GPUs.